A New 3D Bioprinted Model Offers Novel Tool to Study Common Liver Disease and Perhaps Find an Effective Treatment
La Jolla | January 23, 2024
Metabolic dysfunction-associated steatohepatitis, or MASH, is an inflammatory, liver-scarring disease that has reached epidemic proportions, with an estimated 1.5% to 6.5% of U.S. adults afflicted by the condition, and roughly 24% of adults having nonalcoholic fatty liver disease (NAFLD).
MASH, previously known as nonalcoholic steatohepatitis or NASH, is a more serious complication of NAFLD, now called metabolic dysfunction-associated steatotic liver disease or MASLD. The nomenclature changed recently to reduce the stigma attached to the older terms. Neither disease is associated with alcohol consumption.
There are no approved pharmacological therapies for MASH, in part due to a lack of adequate preclinical models for study and testing. A new paper in The American Journal of Pathology, published by Elsevier, from researchers at Sanford Burnham Prebys, with colleagues at Viscient Biosciences, a San Diego–based biotech, and UC San Diego and Salk Institute, describes a three-dimensional bioprinted liver tissue model employing liver cells from healthy or MASH-diseased donors.
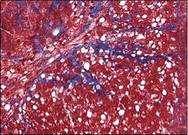
Senior and corresponding study author David A. Brenner, MD, president and CEO of Sanford Burnham Prebys and a longtime leader in liver disease research, said, “These tissues display all of the characteristics of MASH, including fibrosis, without any additional disease-inducing agents.”
Co-author Jeffrey Miner, PhD, cofounder and chief scientific officer of Viscient Biosciences, underscored the importance of being able to produce a high fidelity in vitro human primary cell model of MASH. “This approach utilizes the patient’s own diseased cells, allowing them to generate the disease within the bioprinted tissue. We specifically exclude agents that artificially induce disease. We believe this advance enhances the translation of our results to human clinical trials and drug discovery.”
Researchers were able to create their model by layering a mix of primary liver cells and supporting non-parenchymal liver cells (hepatic stellate, liver sinusoidal endothelial, and Kupffer) to create bioprinted 3D tissues derived from patient cells.

Caption: A stained micrograph of 3D primary human liver cell tissue modeling MASH. Areas of fibrosis are indicated in blue (Credit: Viscient Biosciences).
Notably, the resulting diseased tissues displayed fibrosis, an abnormal accumulation of collagen that in the liver, results in progressive scarring and dysfunction, leading to cirrhosis and liver cancer. With no way to stop or reverse fibrosis, the only recourse is an organ transplant.
The new models offered a peek at the underlying pathology, illuminating the roles of hepatic stellate and liver sinusoidal endothelial cells in the disease process.
Dr. Miner said, “This model represents a fully human system with the potential to detect clinically active targets and therapies. That’s important given that current discovery and animal models have not translated into any approved drugs.”
Notes for editors
The article is “Role of Hepatic Stellate and Liver Sinusoidal Endothelial Cells in a Human Primary Cell Three-Dimensional Model of Nonalcoholic Steatohepatitis,” by Philip K. Tan, Traci Ostertag, Sara B. Rosenthal, Daisy Chilin-Fuentes, Haylee Aidnik, Sara Linker, Keith Murphy, Jeffrey N. Miner, and David A. Brenner (https://doi.org/10.1016/j.ajpath.2023.12.005). It appears online ahead of The American Journal of Pathology, volume 194, issue 3 (March 2024), published by Elsevier.
Additional authors on the study include Philip K. Tan, Traci Ostertag, Haylee Aidnik and Keith Murphy, Viscient Biosciences; Sara B. Rosenthal and Daisy Chilin-Fuentes, UC San Diego; and Sara Linker, Salk Institute.
The study was supported by funding from Viscient Biosciences, San Diego, CA.
Full text of the study is available to credentialed journalists upon request. Contact Eileen Leahy at +1 732 406 1313 or [email protected] to request a PDF of the article. To request an interview with the authors please contact Scott LaFee, Sanford Burnham Prebys, +1 858 636 3100, Ext. 5055 (office), +1 619 889 2368 (mobile), or [email protected].
More about MASLD and MASH
MASLD is a spectrum of diseases characterized by excess fat (steatosis) in the liver. It affects approximately 30% of adults worldwide, with 20% of those patients developing inflammatory MASH that can progress to increasing levels of fibrosis, cirrhosis, liver failure, and hepatocellular carcinoma.
In the coming years, MASH is expected to surpass hepatitis C as the main cause of liver transplantation in the United States. The mortality rate of patients with MASH is 7.9%, twice as high as that of the general population. The prevalence of MASH in the United States is estimated to double every 10 years, with approximately 43 million Americans expected to be affected by the disease by 2025.
Disclosure
Jeffrey N. Miner and Keith Murphy are co-founders, David A. Brenner is a scientific advisor, Philip K. Tan and Haylee Aidnik are employees, Traci Ostertag is a former employee, and Sara Linker is a former consultant of Viscient Biosciences.
About The American Journal of Pathology
The American Journal of Pathology, official journal of the American Society for Investigative Pathology, published by Elsevier, seeks high-quality original research reports, reviews, and commentaries related to the molecular and cellular basis of disease. The editors will consider basic, translational, and clinical investigations that directly address mechanisms of pathogenesis or provide a foundation for future mechanistic inquiries. Examples of such foundational investigations include data mining, identification of biomarkers, molecular pathology, and discovery research. High priority is given to studies of human disease and relevant experimental models using molecular, cellular, and organismal approaches. https://ajp.amjpathol.org
About Elsevier
Elsevier is a global leader in advanced information and decision support. For over a century, we have been helping advance science and healthcare to advance human progress. We support academic and corporate research communities, doctors, nurses, future healthcare professionals and educators across 170 countries in their vital work. We do this by delivering mission-critical insights and innovative solutions that combine trusted, evidence-based scientific and medical content with cutting-edge AI technologies to help impact makers achieve better outcomes. We champion inclusion and sustainability by embedding these values into our products and culture, working with the communities that we serve. The Elsevier Foundation supports research and health partnerships around the world.
Elsevier is part of RELX, a global provider of information-based analytics and decision tools for professional and business customers. For more information, visit www.elsevier.com and follow us on social media @ElsevierConnect.
Contact
SL
Scott LaFee
Sanford Burnham Prebys
+1 858 636 3100 Ext. 5055 (office) +1 619 889 2368 (mobile)
E-mail Scott LaFeeEL