Atlas d'anatomie générale et radiologique
France | 5 mai 2025

L'Atlas d'anatomie générale et radiologiqueopens in new tab/window, c'est
- un outil essentiel pour la formation des étudiants manipulateurs en électroradiologie
- une référence indispensable pour les professionnels.
Avec plus de 600 illustrations de haute qualité, cette 3e édition entièrement revue offre une approche complète et actualisée de l'anatomie et de la radioanatomie.
Tous nos ouvrages sont sur elsevier-masson.fr
Atlas d'anatomie générale et radiologique
Avant-propos
Cet ouvrage a été pensé à partir des enseignements initialement dispensés aux étudiant.e.s manipulateurs. trices en imagerie médicale (MERM) de Strasbourg. Ainsi il se veut synthétique en proposant en un seul volume les principaux schémas anatomiques à connaître pour l’ensemble du corps humain, prérequis nécessaire à leur identification sur des images produites par des imageurs médicaux (radiographies, coupes et reconstructions scanographiques ou IRM). Afin de permettre un apprentissage solide de l’anatomie radiologique, ce livre invite le lecteur à réaliser des allers-retours entre les illustrations schématiques générales d’une part, et les images médicales de l’autre. Le contenu de ce livre correspond également aux besoins des étudiant.e.s de médecine qui débutent en imagerie médicale. Il pose ainsi les bases permettant aux futurs professionnels de la radiologie, de débuter leur apprentissage radioanatomique, prérequis nécessaire au développement de leurs compétences propres, qu’elles soient d’ordres techniques (MERM), diagnostiques (radiologues), ou transversales afin de garantir la qualité des soins.
Au fur et à mesure des éditions, on s’est aperçu que certains chapitres intéresseraient également celles et ceux qui seraient amenés, lors de leurs études, ou lors de leur parcours professionnel, à appréhender certaines données radiologiques, soit pour mieux s’approprier les comptes-rendus émis par les radiologues (ex : médecins généralistes, kinésithérapeutes, infirmières de pratiques avancées, …), ou soit pour mieux exploiter des images à des fins thérapeutiques (ex : physiciens médicaux), d’ingénierie ou de recherche (ex : ingénieurs d’application, chercheurs). Ce livre permet alors à ces professions satellites des services d’imagerie, de bénéficier d’un outil pédagogique permettant de faciliter, par une compréhension morphologique a minima des images présentées, leurs interactions avec les experts de l’imagerie clinique.
Cette édition a bénéficié de changements majeurs pour améliorer son usage. Ainsi, les parties radiologiques de chaque chapitre ont été remaniées en regroupant volontairement les images par modalité (radiographies, TDM et IRM) ; les radiographies standards ont été retravaillées pour faciliter l’approche des lecteurs nonexperts, et les coupes TDM et IRM complétées par de nouvelles planches. Ces actualisations ont été rendus possibles grâces à l’implication de nombreux collègues radiologues et MERM des hôpitaux universitaires de Strasbourg, que je remercie chaleureusement pour leur soutien et ce depuis de nombreuses années. A l’heure où les supports numériques deviennent la norme, ce manuscrit s’épanouira pleinement au chevet de l’étudiant.e en période révision, mais aussi « à la console» comme outil partagé, au sein même d’une équipe radiologique.
Jean-Philippe DILLENSEGER Janvier 2025
L'ouvrage comprend 6 chapitres : 1 Membre Supérieur - 2 Membre Inférieur - 3 Colonne Vertébrale Moelle Spinale - 4 Thorax - 5 Abdomen et Pelvis - 6 Tête et Cou.
Voici le plan du chapitre 6
Chapitre 6 Tête et cou
Anatomie générale Vues d’ensemble du crâne Muscles de la face Méninges Vues d’ensemble de l’encéphale Nerfs crâniens Nerfs Nerfs crâniens Foramens de la base du crâne Cavités à LCS Sinus duremériens Région sellaire Vascularisation artérielle Substances blanche et grise cérébrales Contenu orbitaire Oreille externe, moyenne et interne Appareil manducateur et articulation temporomandibulaire Vascularisation de la face Région parotidienne Sinus paranasaux Fosses nasales Arcades dentaires, mandibule et dents Pharynx et larynx Région thyroïdienne et cou Anatomie radiologique Radiographies Contrastes en imagerie de coupe TDM et IRM TDM cérébrale TDM des rochers TDM de la face TDM du cou Imagerie de l’articulation temporomandibulaire TDM du crâne reconstruction 3D TDM des TSA IRM cérébrale IRM de la région ORL
Nous vous invitons à découvrir quelques planches de la 2e partie du chapitre, Anatomie radiologique.
Anatomie radiologique
Radiographies

Fig 6.80
Angiographie de profil

Fig 6.87
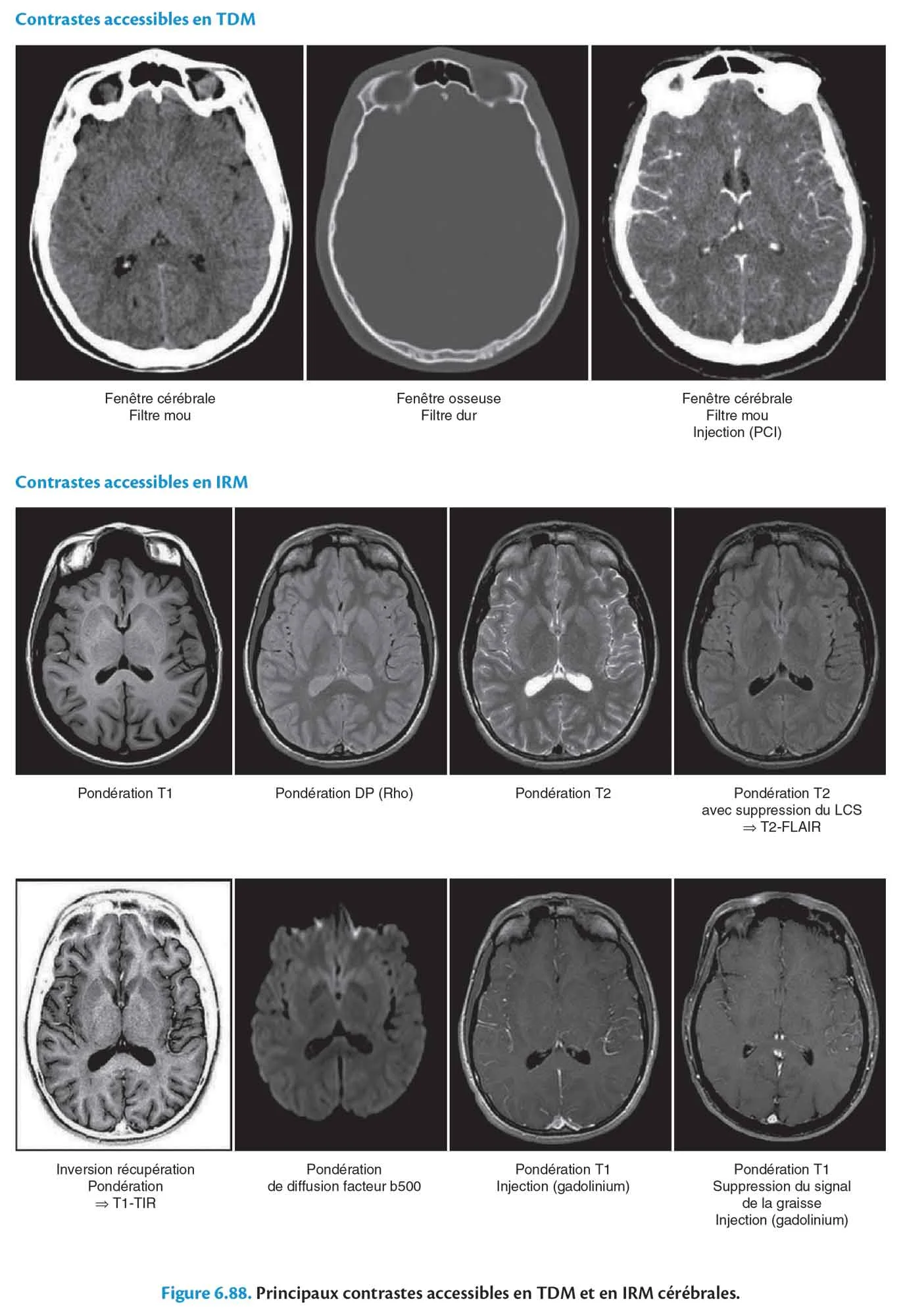
Contrastes accessibles en TDM

Fig 6.88
TDM cérébrale

Fig 6.89a

Fig 6.89b
Vous venez de découvrir un extrait de l'ouvrage Atlas d'anatomie générale et radiologiqueopens in new tab/window
3e édition de Jean-Philippe Dillenseger © 2011, 2019, 2025 Elsevier Masson SAS
Atlas d'anatomie générale et radiologique Jean-Philippe Dillenseger ISBN 9782294786082 3e édition, 2025
Toutes nos publications sont sur elsevier-masson.fropens in new tab/window
