Radiographies ostéoarticulaires : éléments sémiologiques à maitriser
Paris | 28 décembre 2023

Nous vous invitons à découvrir un extrait de l'ouvrage Radiographies ostéoarticulaires : éléments sémiologiques à maitriser dans la collection Syllabus de la SFR.
Publié sous l'égide de la Société française de radiologie (SFR), cet ouvrage donne toutes les clés pour une bonne maîtrise de la radiologie ostéoarticulaire et est illustré de 400 illustrations de grande qualité.
Nous vous invitons à découvrir le début du chapitre 17 sur la maltraitance.
Maltraitance : les signes qui doivent alerter
Nathalie Boutry, Anne Matthews-Gaulon, Héloïse Lerisson Brasdefer, Daniela Rapilat, Mohamed El Fayoumi, Élodie Roman
PLAN DU CHAPITRE
Introduction Rappels et définitions Alerte n° 1 : présence de lésions cutanéomuqueuses suspectes Alerte n° 2 : présence de lésions osseuses traumatiques chez un enfant non déambulant Alerte n° 3 : présence de lésions osseuses traumatiques sans explication plausible chez un enfant déambulant Alerte n° 4 : présence de lésions osseuses traumatiques évocatrices de maltraitance Lésion classique métaphysaire (LCM) Fracture d’arc postérieur de côte Fracture de la jonction chondrocostale Fracture complexe du crâne Fractures multiples d’âges différents
Alerte n° 5 : présence de lésions osseuses traumatiques d’allure accidentelle mais associées à d’autres anomalies osseuses suspectes Quel bilan radiographique réaliser une fois l’alerte lancée ?
Radiographies ostéoarticulaires : éléments sémiologiques à maîtriser © 2023 Elsevier Masson SAS. Tous droits réservés
Introduction
En heures ouvrables ou pas, tout radiologue public ou privé peut être confronté à une suspicion de maltraitance infantile dans deux situations distinctes : 1) le médecin référent soupçonne une maltraitance et demande des radiographies ; 2) le radiologue soupçonne une maltraitance au vu des radiographies effectuées pour une toute autre raison. Dans un cas comme dans l’autre, le radiologue se trouve impliqué dans la prise en charge de la maltraitance, indirectement (situation n° 1) ou directement (situation n° 2). Son compte rendu fait alors partie intégrante de la prise en charge de l’enfant, qu’il s’agisse de transmettre une information préoccupante à la cellule de recueil, de traitement et d’évaluation des informations préoccupantes (CRIP) ou d’effectuer un signalement de sévices sur mineur au procureur de la République. La sémiologie radiographique de la maltraitance infantile doit donc être connue du radiologue et, plus important encore, certains signes doivent l’alerter et lui faire suspecter une maltraitance infantile. Nous n’aborderons dans ce chapitre que les lésions osseuses évocatrices de maltraitance chez les enfants âgés de moins de 3 ans, tranche d’âge la plus souvent concernée (du moins pour les lésions osseuses). Pour celles et ceux qui s’intéressent tout particulièrement à ce sujet, le supplément de Pediatric Radiology de mai 2021 est entièrement consacré à l’imagerie de la maltraitance.
Rappels et définitions
Selon le Conseil national de l’Ordre des médecins : « On entend par maltraitance infantile toute violence physique, toute atteinte sexuelle, toute cruauté mentale, toute négligence ayant des conséquences préjudiciables sur l’état de santé et sur le développement physique et psychologique de l’enfant ». Diverses appellations existent dans la littérature : traumatisme non accidentel (TNA) de l’enfant, syndrome des enfants battus, syndrome de Silverman. Cette dernière dénomination correspond stricto sensu aux manifestations radiographiques de la maltraitance infantile. Le syndrome du bébé secoué est une entité particulière, caractérisée par une triade « hémorragies intracrâniennes – hémorragies rétiniennes – lésions parenchymateuses cérébrales » plus ou moins complète que nous ne traiterons pas dans ce chapitre consacré aux radiographies.
Alerte n° 1 : présence de lésions cutanéomuqueuses suspectes
Il ne s’agit évidemment pas, pour le radiologue, d’effectuer un examen clinique complet en préalable aux radiographies, mais dans la mesure où il faut déshabiller l’enfant avant d’effectuer les clichés, il n’est pas rare que le manipulateur remarque et signale au radiologue la présence de lésions cutanéomuqueuses. Ces lésions sont diverses et variées (encadré 17.1) [1, 2] (fig. 17.1 et 17.2) mais inconstantes et leur absence ne doit pas faire éliminer le diagnostic de maltraitance.
ENCADRÉ 17.1 Lésions cutanéomuqueuses devant alerter
Ecchymoses • Chez un nourrisson non déambulant : toute ecchymose est suspecte jusqu’à preuve du contraire. • Chez un nourrisson déambulant : – ecchymose de grande taille (plus de 10 à 15 mm) ; – ecchymoses multiples (plus de 3) ; – ecchymoses multiples et d’âges différents ; – ecchymoses multiples et regroupées dans un endroit du corps ; – ecchymoses des joues, des oreilles et du cou ; – ecchymoses dans des zones couvertes (tronc, dos, fesses, périnée, parties génitales, bras, cuisses) ; – ecchymoses reproduisant l’empreinte d’un objet ou d’une main.
Morsures Brûlures • Profondes, multiples et bien délimitées • Brûlures en gants, en chaussettes des extrémités • Atteinte zébrée du tronc (respect des plis de flexion) ou en doughnut des fesses (respect de la peau en contact avec la baignoire lors d’une immersion forcée) Atteinte des phanères • Alopécie associée à des hémorragies/hématomes du cuir chevelu • Décollement unguéal proximal
Lésions de la muqueuse buccale (ecchymoses, érosions, brûlures) Négligence • Manque d’hygiène flagrant ; dénutrition ; pédiculose/scabiose étendues ; absence de vaccination ; signes cutanés de scorbut (pétéchies/purpura, poils en « tire-bouchon ») D’après [1, 2].
Tableau 17.1.
Maltraitance : spécificité des anomalies radiographiques en fonction du type de lésion et de sa localisation.
D’après [4].
Spécificité des anomalies radiographiques  | Type de lésion et localisation  | 
|---|---|
Spécificité de maltraitance élevée  | Lésion classique métaphysaire (LCM) Fracture d’arc postérieur de côte Fracture de la scapula Fracture-avulsion des processus épineux  | 
Spécificité de maltraitance modérée  | Fractures multiples d’âges différents Fracture complexe du crâne Fracture-décollement épiphysaire Tassement vertébral Fracture digitale  | 
Spécificité de maltraitance faible  | Fracture de la clavicule Fracture diaphysaire des os longs Fracture linéaire du crâne  | 

Fig. 17.1 et 17.2
Alerte n° 2 : présence de lésions osseuses traumatiques chez un enfant non déambulant
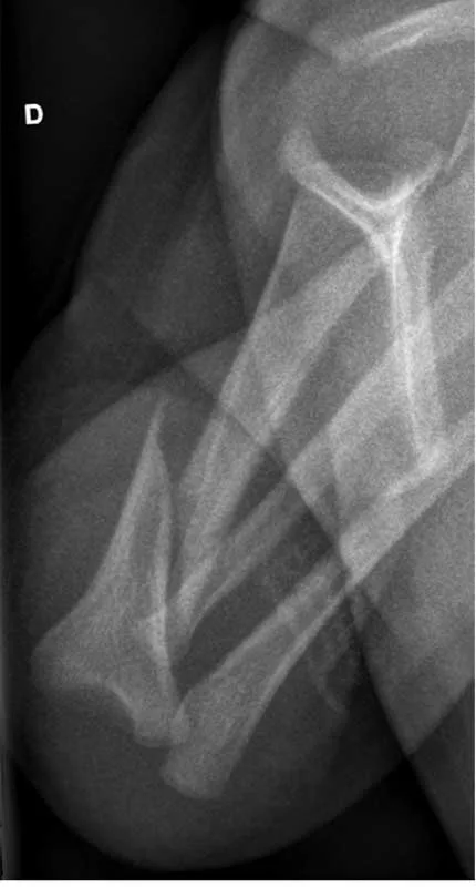
Toute fracture survenant dans ce contexte est suspecte jusqu’à preuve du contraire (hors signes d’appel cliniques et/ou radiographiques pour une ostéogenèse imparfaite). De manière similaire, une fracture diaphysaire humérale (fig. 17.3) ou fémorale chez un enfant qui ne se déplace pas encore est également suspecte jusqu’à preuve du contraire.

Fig. 17.3 Fracture humérale chez un enfant âgé de 8 mois. Présence d’une fracture spiroïde déplacée de l’humérus droit suspecte dans le contexte (chute des bras du père à l’anamnèse, présence par ailleurs d’une ecchymose ancienne sur la joue).
Alerte n° 3 : présence de lésions osseuses traumatiques sans explication plausible chez un enfant déambulant
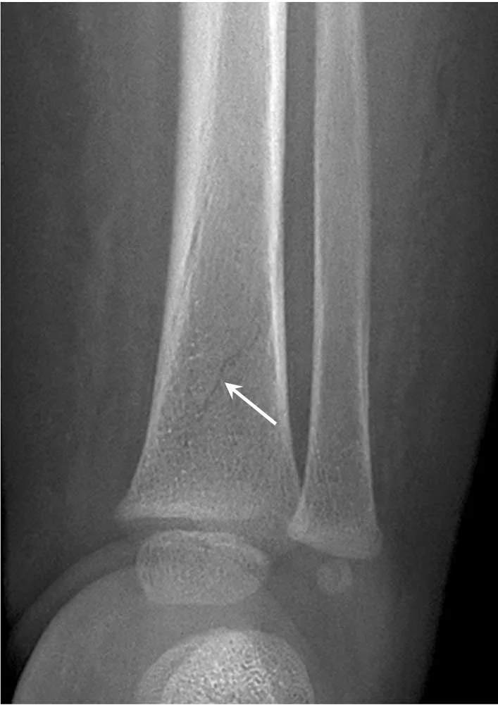
Les fractures diaphysaires des os longs se produisent souvent de manière accidentelle chez l’enfant. Chez un petit qui commence à marcher, une fracture en « cheveu » du tibia (toddler’s fracture des Anglo-Saxons) peut ainsi survenir (fig. 17.4). Celle-ci correspond à une fracture spiroïde isolée, non déplacée, du tiers distal de la diaphyse tibiale. Diverses variantes ont été décrites depuis sa description princeps [3] : fracture oblique du tiers distal de la diaphyse tibiale, fracture spiroïde du tiers moyen de la diaphyse tibiale, fracture sous-périostée à radiographies normales. Ce type de fracture est banal et ne doit pas alerter.

Fig. 17.4 Fracture en « cheveu » du tibia distal chez un enfant âgé de 13 mois. La solution de continuité est très fine (flèche). Ce type de fracture peut survenir à l’apprentissage de la marche et ne doit pas faire suspecter une maltraitance
En revanche, d’autres fractures diaphysaires requièrent un traumatisme à haute énergie (par exemple une fracture du tiers proximal du fémur), ou un mécanisme lésionnel en torsion (par exemple une fracture spiroïde de l’humérus). Dans un cas comme dans l’autre, la découverte d’une fracture diaphysaire d’un os long sans explication cohérente doit faire suspecter une maltraitance. Il faut néanmoins garder à l’esprit la faible spécificité de maltraitance de ces fractures diaphysaires (tableau 17.1) et la possibilité qu’elles surviennent sans traumatisme significatif s’il existe une fragilité osseuse sous-jacente, comme dans l’ostéogenèse imparfaite (d’où l’intérêt de dépister des lésions osseuses plus spécifiques de maltraitance ; voir ci-dessous).
Radiographies ostéoarticulaires : éléments sémiologiques à maitriser Anne Cotten ISBN 9782294781919 2023
Toutes nos publications sur elsevier-masson.fr

